Study will expand existing knowledge on link between diet and arthritis
Oklahoma Medical Research Foundation
The evolution of the Thanksgiving meal – and how it reflects health trends
Modern holiday dinner barely resembles the first Thanksgiving meal
OMRF Board greets four new members, honors another
Longtime Board member Sharon J. Bell of Tulsa named a Life Director
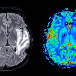
OMRF receives $2.6 million to study early effects of Alzheimer’s
Research will focus on stopping protein hyperactivity that precedes dementia
OMRF discovery could lead to new strategies for tissue repair
Breakthrough could open new treatment avenues for pluripotent stem cells
OMRF wins five top honors from Society of Professional Journalists
Foundation recognized for magazine, graphics, annual report, internal newsletter








